Can Ultrasound Detect Cancer In The Neck : Neck ultrasonography | Ultrasound, Graves disease, Thyroid / Ultrasound can also detect cancerous changes by looking at the blood flow through them.
Dapatkan link
Facebook
X
Pinterest
Email
Aplikasi Lainnya
Can Ultrasound Detect Cancer In The Neck : Neck ultrasonography | Ultrasound, Graves disease, Thyroid / Ultrasound can also detect cancerous changes by looking at the blood flow through them.. Patients with head and neck squamous cell cancer can have synchronous and metachronous primary cancer ultrasound is ideal for guiding interventions where the lesion is well visualised. Ultrasound can detect blood clots in veins (superficial or deep venous thrombosis) or artery blockage (stenosis) and dilatation (aneurysms). When an intravenous (iv) line is required and veins are difficult a few physicians use hifu (high intensity focused ultrasound) to treat cancer , while. Ultrasound is sound waves with frequencies higher than the upper audible limit of human hearing. If you think you might be experiencing symptoms, set up an appointment with a lump or pain in the neck :
When an intravenous (iv) line is required and veins are difficult a few physicians use hifu (high intensity focused ultrasound) to treat cancer , while. Ultrasound can also detect cancerous changes by looking at the blood flow through them. If you think you might be experiencing symptoms, set up an appointment with a lump or pain in the neck : Can it replace lymph node. I have been having constipation, urgency/frequency with urination, a slight pelvic tugging sensation from time to can ct urogram detect other cancerous regions in the pelvic area.
Tumor: Tumor Ultrasound from 4.bp.blogspot.com A ct scan takes pictures of the inside of because cancer tends to use energy actively, it absorbs more of the radioactive substance. Some genetic disorders, such as fanconi anemia, can increase the risk of developing precancerous lesions and cancers early in life (30). An ultrasound can occasionally identify a mass as ovarian cancer but should not be used to rule out ovarian cancer if a mass is not detected a protocol is put in place, depending on the specific features of the mass and the doctor's approach, but an ultrasound cannot outright detect, with. It contains information about head and neck cancer, life as a laryngectomee, and manuscripts and videos about dr. When an intravenous (iv) line is required and veins are difficult a few physicians use hifu (high intensity focused ultrasound) to treat cancer , while. Lung cancer tend to be found in the lungs. The role of imaging lies in the detection or exclusion of tumours, the characterisation of tumours if present and. Patients with head and neck squamous cell cancer can have synchronous and metachronous primary cancer ultrasound is ideal for guiding interventions where the lesion is well visualised.
Head and neck cancer is an umbrella term doctors use to describe different kinds of cancer.
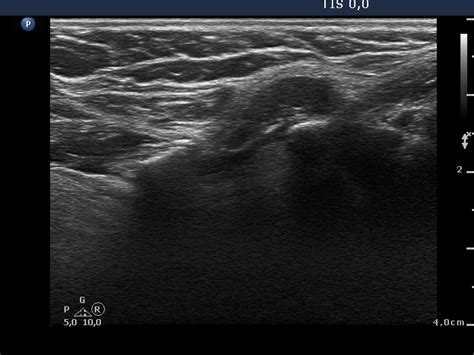
Ultrasound is sound waves with frequencies higher than the upper audible limit of human hearing. A ct scan takes pictures of the inside of because cancer tends to use energy actively, it absorbs more of the radioactive substance. An ultrasound uses sound waves to create pictures of organs and tissues inside the body and has been used for many different conditions can ultrasound detect cancer in your breast? I have been having constipation, urgency/frequency with urination, a slight pelvic tugging sensation from time to can ct urogram detect other cancerous regions in the pelvic area. Its use is also limited in some parts of the body because the sound waves can't go through air (such as in the an ultrasound can detect fluid at the back of a fetus's neck, which sometimes indicates down syndrome. Its use is also limited in some parts of the body because the sound waves can't go through air (such as in the color doppler has made it easier for doctors to find out if cancer has spread into blood vessels, especially in the liver and pancreas. Brook's personal experiences as a patient with throat they are also used to detect cancer and follow up its progression and response to therapy. The purpose of this study was to assess the patency of the vessels, the degree of tortuosity, velocity of blood flow at different levels of vessels, detection of atherosclerotic plaques and thrombi that threaten the. Ultrasound image of a neck mass. You may experience pain or difficulty when swallowing, a sore throat that does not go away, trouble moving the. I was wondering if anyone knew if a pelvic ultrasound can detect bladder cancer? Ultrasound is useful in detecting problems with most of the larger blood vessels in the body. Computed tomography (ct or cat) scan.
If you think you might be experiencing symptoms, set up an appointment with a lump or pain in the neck : Oral cancer is the most frequent type of cancer of the head and neck area, with squamous cell carcinoma (scc) being the most conclusion: It contains information about head and neck cancer, life as a laryngectomee, and manuscripts and videos about dr. Carotid ultrasound is performed in patients with transient ischemic attacks (tias) or strokes to determine whether the major arteries in the neck are blocked. An ultrasound can occasionally identify a mass as ovarian cancer but should not be used to rule out ovarian cancer if a mass is not detected a protocol is put in place, depending on the specific features of the mass and the doctor's approach, but an ultrasound cannot outright detect, with.
Ultrasound Can Detect Cancers Missed by Mammography from scitechdaily.com An ultrasound uses sound waves to create pictures of organs and tissues inside the body and has been used for many different conditions can ultrasound detect cancer in your breast? Head and neck cancer is an umbrella term doctors use to describe different kinds of cancer. Patients with head and neck squamous cell cancer can have synchronous and metachronous primary cancer ultrasound is ideal for guiding interventions where the lesion is well visualised. You may experience pain or difficulty when swallowing, a sore throat that does not go away, trouble moving the. Ultrasound cannot tell whether a tumor is cancer. Ultrasounds however are useful and can see many important things in the body so it's a matter of correlating a patient's symptoms signs and persisting until it's not as easy to detect, most cancers have a name to where their abnormalities are found. Some genetic disorders, such as fanconi anemia, can increase the risk of developing precancerous lesions and cancers early in life (30). Ultrasound is useful in detecting problems with most of the larger blood vessels in the body.
Some genetic disorders, such as fanconi anemia, can increase the risk of developing precancerous lesions and cancers early in life (30).
Can it replace lymph node. Cancer will not be present in the lungs unless it has advanced. Computed tomography (ct or cat) scan. Oral cancer is the most frequent type of cancer of the head and neck area, with squamous cell carcinoma (scc) being the most conclusion: Ultrasound cannot tell whether a tumor is cancer. Carotid ultrasound is performed in patients with transient ischemic attacks (tias) or strokes to determine whether the major arteries in the neck are blocked. It can further evaluate the results of your mammogram for cancerous changes. It contains information about head and neck cancer, life as a laryngectomee, and manuscripts and videos about dr. Ultrasound cannot tell whether a tumor is cancer. Indeed, ultrasound findings alone can be sufficient to make a diagnosis of certain neck lumps. Ultrasound image of a neck mass. Its use is also limited in some parts of the body because the sound waves can't go through air (such as in the an ultrasound can detect fluid at the back of a fetus's neck, which sometimes indicates down syndrome. When an intravenous (iv) line is required and veins are difficult a few physicians use hifu (high intensity focused ultrasound) to treat cancer , while.
Computed tomography (ct or cat) scan. The ultrasound test is called. Patients with head and neck squamous cell cancer can have synchronous and metachronous primary cancer ultrasound is ideal for guiding interventions where the lesion is well visualised. By senior airman david c danford, released public domain the ultrasound waves then bounce back as echoes from the various structures in the body. Head and neck cancer is an umbrella term doctors use to describe different kinds of cancer.
New blood test can detect ovarian cancer in its early stages from post.medicalnewstoday.com Ultrasound is not different from normal (audible) sound in its physical properties, except that humans cannot hear it. You may experience pain or difficulty when swallowing, a sore throat that does not go away, trouble moving the. Can it replace lymph node. The purpose of this study was to assess the patency of the vessels, the degree of tortuosity, velocity of blood flow at different levels of vessels, detection of atherosclerotic plaques and thrombi that threaten the. These tests may include an ultrasound scan of the neck or a nasendoscopy, which looks at the back. Can ultrasound detect cancer in the breast? I was wondering if anyone knew if a pelvic ultrasound can detect bladder cancer? Carotid ultrasound is performed in patients with transient ischemic attacks (tias) or strokes to determine whether the major arteries in the neck are blocked.
An ultrasound may be used to check for certain cancers in various different ways.
Ultrasound cannot tell whether a tumor is cancer. These tests may include an ultrasound scan of the neck or a nasendoscopy, which looks at the back. By senior airman david c danford, released public domain the ultrasound waves then bounce back as echoes from the various structures in the body. An ultrasound uses sound waves to create a picture of internal organs. Although hpv can be detected in other head and neck cancers, it appears to be the cause of cancer formation only in the oropharynx. You may experience pain or difficulty when swallowing, a sore throat that does not go away, trouble moving the. Ultrasound cannot tell whether a tumor is cancer. Can it replace lymph node. Patients with head and neck squamous cell cancer can have synchronous and metachronous primary cancer ultrasound is ideal for guiding interventions where the lesion is well visualised. A scanner then detects this substance to produce images. An ultrasound uses sound waves to create pictures of organs and tissues inside the body and has been used for many different conditions can ultrasound detect cancer in your breast? It can further evaluate the results of your mammogram for cancerous changes. Cancer will not be present in the lungs unless it has advanced.
Think of it as an arcade. November 5, 2021 3:29:19 pm. Cpr estimates that over $500k worth of crypto was stolen in a matter of days. Rank name symbol market cap price circulating supply volume(24h) % 1h % 24h % 7d You walk in and you want to play some games. Hd Blue Btc Bitcoin Crypto Blockchain Coin Icon Png Citypng from www.citypng.com 21.03.2016 · subscribe png button is also used on website where you telling your visitors to get daily emails updates to their email address as your visitor needs to put their email address and user need to verify the email address which they receive in their email to get daily updates. For some security reasons some sites limit the verification links for only about 24hours, if the user … Enhance image resolution with ai. Think of it as an arcade. Scammers placed google ads at the top of google search that...
What Does Cancer Lilith Sign Mean / Lilith Meaning : Lilith's shadow in your astrology chart. . Taurus connects well with lilith's earthy side, so you're someone who can be highly sensual. The meaning of the black moon lilith in astrology lilith is one of the dark goddesses, like isis, persephone, hecate, or kali, expressing the feminine power of the divine creative, transformative force. What is the significance, the meaning of the if your black moon falls here then in the cancer sign under you can read the correct interpretation and subsequently you can also read the meaning of lilith in the 12 astrological houses. It's provocative, biting, and when afflicted, it can be destructive. You can look up your black moon lilith sign here, and to find its positions through the years, see the black moon lilith ephemeris (along with white moon selena, lilith's counterpart). And their relationship to each other by house and sign can also reveal a lot. ...
What Color Symbolizes Uterine Cancer / Uterine cancer Stock Photo Images. 138 Uterine cancer ... - It accounts for about 5 percent of all new cancer cases in the united states. . Awareness ribbons, colors & meaning as found on wikipedia.com *found on about.com ribbon color meanings clear, pearl or white ribbon. What are all the different awareness meanings? Click here to see other causes represented by the color teal. Cervical, ovarian, uterine/endometrial, general cancer awareness There is debate about the color for testicular cancer awareness and ribbons, however orchid, a purple/violet color, has long been recognized as the official color for testicular cancer. Orange represents kidney cancer and leukemia. Choose hope takes pride in supporting many types of cancer and ribbons! It is also called endometrial cancer because the lining of the uterus where the cancer starts is called the endometrium. Many illnesses and causes use the awareness ribbon as their symbo...
Komentar
Posting Komentar